- For Dentists
- Interdisciplinary cases
Interdisciplinary cases
Recent cases
Buccal Canine Exposure

This patient was referred by a dentist who suspected the 23 would become impacted. After conducting a comprehensive orthodontic evaluation, it was decided that we would extract the 63 and make space for the tooth with the hope that it may erupt spontaneously.

After a period of time with clinical and radiographic monitoring, the patient was sent back to the dentist for a simple exposure and bonding.

This tooth has now come down significantly and we are now in the final stages of treatment.
Implant Site Preparation

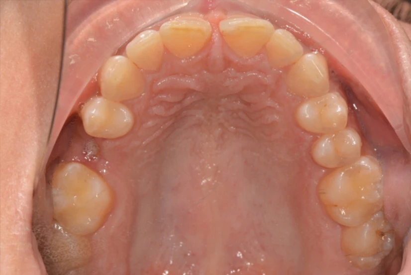
The 15 was broken down significantly and allowed the 14 and 16 to move into the space. In particular, we can see the mesio-lingual rotation of the 16 around the large palatal root. The patient was referred for space regaining following the extraction of 15 root.

A brief 6 month treatment plan with fixed appliances, included an upper labial frenectomy and space closure of the diastema. De-rotation of the 16 and alignment created adequate space for the dentist to place an implant. A fixed retainer for 11-21 was placed and a Hawley retainer with pontic for 15 was provided for use during the implant healing time.
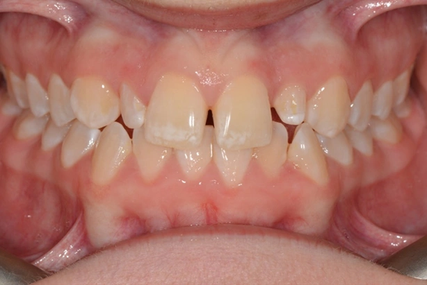
Peg Shaped Laterals

Diminutive lateral incisors are one of the most common problems we see. After careful assessment with patient, parent and referring dentist, it was decided to complete full fixed appliance treatment with space creation for composite buildups of the 12 and 22.

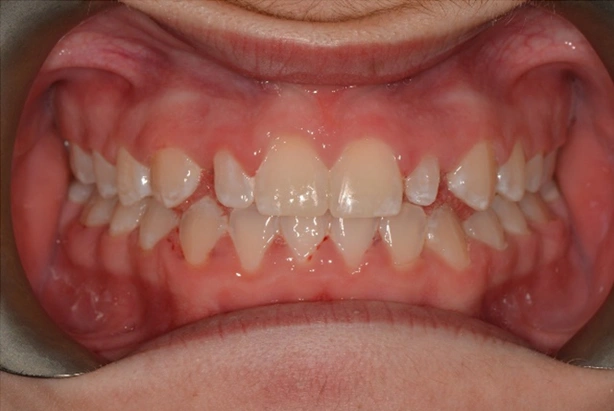
Alignment and occlusion were perfected and the patient referred back to dentist to approve of space distribution.

Appointments were coordinated so that all appliances were removed in the morning. Build-ups undertaken around lunch and final retainers issued by the end of the day.

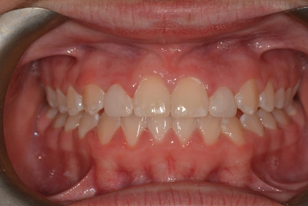
A great result. With potential permanent indirect restorations after growth completed if needed.