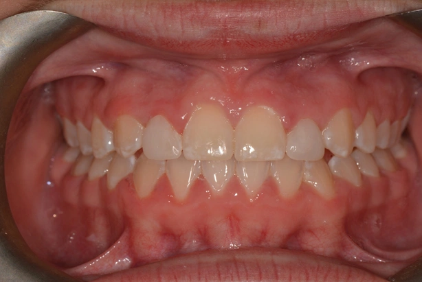
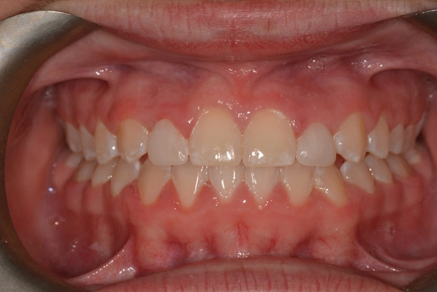
peg4

Leave a reply

Your email address will not be published. Required fields are marked *

Your comment:

Your name: